Casos Clínicos
*Nenhuma Imagem Contém Retoques
Odontologia de Alta Complexidade
Tratamento Periodontal Prévio
Enxerto nos Seios Maxilares
Técnica de Cirurgia Guiada para Implantes
Prótese Protocolo Imediato Inferior
Coroas de Dissilicatio de Lítio Anteriores Superiores
Próteses Sobre Implantes Múltiplos Posteriores Superiores












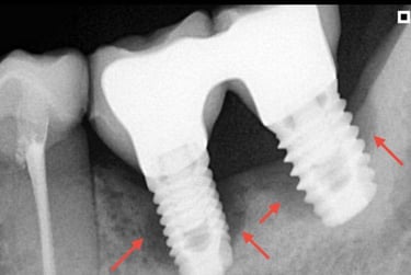
O enxerto de biomateriais possibilita a colocação de implantes mesmo em pacientes com pouco osso na região posterior da maxila, garantindo suporte seguro e duradouro para reabilitações






A cirurgia guiada utiliza planejamento digital e guias cirúrgicos impressos em 3D, oferecendo maior precisão, menor tempo de cirurgia e recuperação mais confortável.






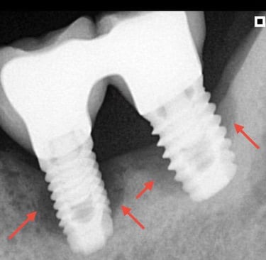
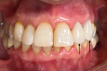
Comparação do Planejamento com o Resultado
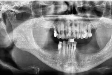
Aspecto Radiográfico Final com Implantes e Coroas
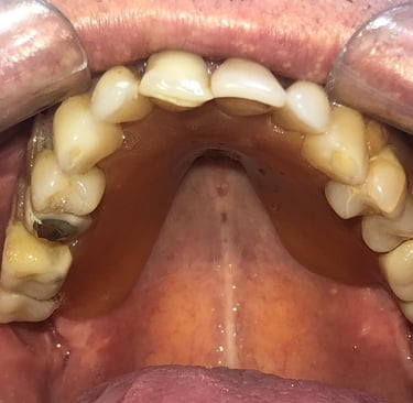
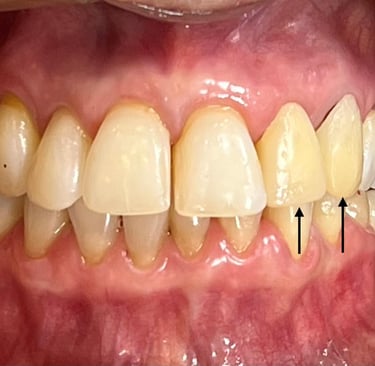
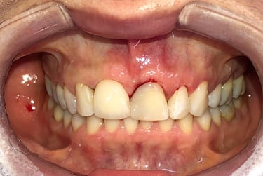
Aspecto Clínico Inicial - Fotografias originais — nenhuma contém retoques
Aspecto Tomográfico Final do Enxerto e Planejamento Digital para o Implante
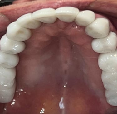
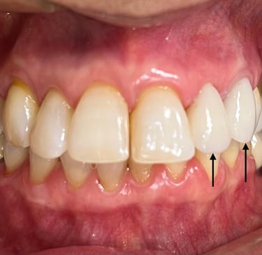
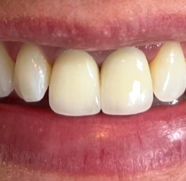
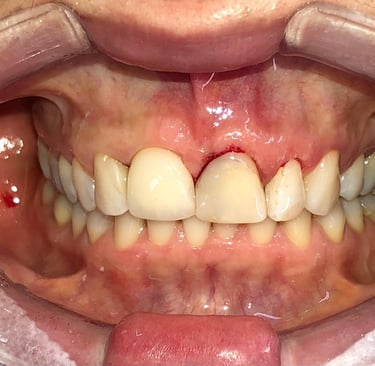
Aspecto Clínico Final - Fotografias originais — nenhuma contém retoques — A cor dos dentes é escolhida de acordo com o gosto e a preferência estética de cada paciente.
Imagens originais — nenhuma contém retoques
Imagens originais — nenhuma contém retoques
Implantes




Fotografias originais — nenhuma contém retoques






Técnica de Fechamento Imperceptível de Implantes - Fotografias originais — nenhuma contém retoques
Implante com secreção, sangramento ou partes metálicas expostas?
Isso pode ser peri-implantite, uma inflamação que, quando não tratada a tempo, costuma levar à remoção do implante. A avaliação precoce é fundamental para escolher o melhor tratamento e preservar sua saúde bucal.


Implantes perdidos por peri implantite - Imagens originais — nenhuma contém retoques
Pouco osso? A cirurgia guiada pode ser a solução.
Mesmo quando há pouca quantidade de osso, muitas vezes não é preciso fazer enxerto.
Com o uso de tecnologia digital em 3D, a cirurgia guiada permite planejar com precisão milimétrica a posição dos implantes, aproveitando ao máximo o osso disponível.
Esse planejamento detalhado também possibilita desviar de estruturas importantes, como o canal mandibular (por onde passa um nervo sensível) e o seio maxilar (uma cavidade natural próxima aos dentes superiores), tornando o procedimento mais seguro e previsível.
O resultado? Cirurgias mais rápidas, com recuperação mais tranquila e excelentes resultados — mesmo em casos que antes pareciam difíceis.


Caso da cirurgia guiada dispensando o enxerto - Imagens originais — nenhuma contém retoques








Aspecto clínico final - Imagens originais — nenhuma contém retoques
Meu Implante Está Dando Problema: e Agora?


Implante feito por outro profissional há cerca de 5 anos desenvolveu inflamação, saída de pus e gengiva inflamada, indicando peri-implantite, uma infecção que pode comprometer o implante se não tratada.
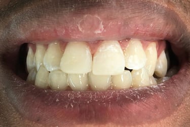
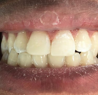
Coroas em Dissilicato de Lítio


Todos os caso a seguir estão associadas a clareamento dentário






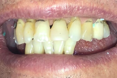
Antes
Antes
Depois
Depois
Cirurgia de aumento de coroa clínica antes das coroas
Caso que demonstra a vantagem da integração de diversas áreas da odontologia, unindo cirurgia, periodontia, prótese e estética para alcançar resultados funcionais e harmônicos.






Antes
Depois
Restaurações em resina composta
Proporcionam estética, economia e rápida execução, ideais para pequenas restaurações de cáries, fraturas traumáticas ou restituições de formas.












Antes
Antes
Antes
Depois
Depois
Depois - Restauração em resina associada ao clareamento dental.
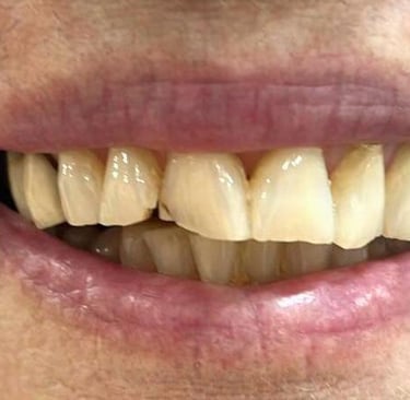
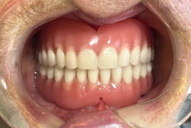
Prótese total convencional
Depois
Prótese total convencional
Solução tradicional e econômica para quem perdeu todos os dentes. Embora a prótese protocolo sobre implantes ofereça mais estabilidade, a prótese total continua sendo uma alternativa acessível que devolve função e estética ao sorriso.






Antes
Cirurgias Orais
Além da extração dos sisos, a cirurgia oral inclui procedimentos como remoção de cistos e tumores, biópsias, regularizações ósseas e cirurgias pré-protéticas. São intervenções que exigem precisão técnica, conhecimento detalhado da anatomia e ampla experiência clínica, sempre com foco em promover recuperação funcional e estética com o máximo de cuidado e previsibilidade possível.
O planejamento da cirurgia dos dentes do siso normalmente é realizado por meio de tomografias computadorizadas. Elas permitem visualizar com precisão a localização do canal mandibular (seta), cuja lesão durante a cirurgia pode causar complicações neurossensoriais e hemorragias, reforçando a importância de um bom planejamento cirúrgico.








Endereço
Alameda Santos 1293 - Jardim Paulista, São Paulo - SP, 01419-002 Cj 82.
Contato
(11) 3253-5699 | (11) 91182-1942
atendimento@espaceconcept.com